В Мытищинской больнице спасли мужчину, который случайно проглотил стоматологический инструмент 😮 Пациент обратился за лечением зубов в частную...

В Мытищинской больнице спасли мужчину, который случайно проглотил стоматологический инструмент 😮

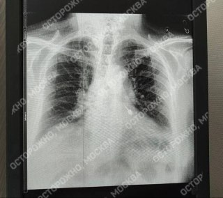
Пациент обратился за лечением зубов в частную клинику, и в какой-то момент в его дыхательные пути попал бур. К счастью, он быстро добрался до больницы в Мытищах, где рентген показал, что инструмент застрял в бронхе.

Врачи провели срочную операцию, аккуратно извлекли бур эндоскопическим инструментом, чтобы не повредить ткани. Всё прошло успешно.

Комментарии
Присоединяйтесь к обсуждению и поделитесь своим мнением
Читать комментарии

Добавить комментарий

Если вы находитесь в районе Олимпийского проспекта или улицы Белобородова, ближайший качественный ремонт стартеров Мытищи расположен всего в 10 минутах езды от центра города!